Many people notice white spots on their teeth and hope they will fade on their own with better brushing or time without professional teeth cleaning. In some cases, that can happen. In others, the spots are a sign of enamel changes that won’t fully reverse without dental care. Understanding whether white spots on teeth go away naturally depends on what caused them in the first place and how early they are detected.
In this article, we’ll explain the common causes of white spots, when natural improvement is possible, which habits help prevent worsening, and what professional options exist if the spots persist.

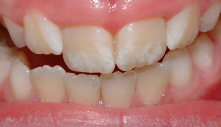
What Causes White Spots on Teeth
White spots form when the mineral balance of tooth enamel is disrupted. Although they look similar on the surface, the underlying cause can vary.
Enamel Demineralization
Demineralization occurs when acids from plaque remove minerals from the enamel. This creates opaque white areas that are often early warning signs of weakened enamel. These spots commonly appear around the gumline or near orthodontic brackets and can progress to cavities if not addressed.
Fluorosis
Dental fluorosis develops when too much fluoride is consumed while teeth are forming, usually in childhood. Fluorosis-related white spots are typically symmetrical and affect multiple teeth. These spots are not caused by decay, but they are changes within the enamel structure and do not disappear on their own.
Poor Oral Hygiene
Inadequate brushing and flossing allow plaque buildup to remain on the teeth. Over time, this plaque produces acids that damage enamel and cause white spots. This is often seen in areas that are difficult to clean and may worsen without improved oral hygiene.
Colgate also confirms all of these causes in an article:
“White spot lesions may be due to fluorosis (overexposure of fluoride to the teeth), enamel hypoplasia (thinner development of the enamel on teeth), demineralization of the enamel on the teeth, low calcium diet, and poor oral hygiene. The good news, though, it’s treatable and can be reversed.”
Read more: Tooth Discoloration
Can White Spots on Teeth Fade Naturally?
In some situations, white spots can become less noticeable over time. Early-stage demineralization may improve through natural remineralization supported by saliva, fluoride exposure, and consistent oral hygiene. These changes can help strengthen enamel and blend the white area more evenly with the surrounding tooth structure.
However, natural improvement is limited. Once the enamel structure is altered beyond the surface, the white spots may remain visible even if the tooth becomes healthier. This is why identifying the cause early is important.
In our clinic, we often see patients who notice white spots after orthodontic treatment or periods of inconsistent oral hygiene. When these spots are caught early, simple changes in home care and regular checkups can significantly improve their appearance.
When Natural Improvement Is Possible and When It Is Not
White spots caused by early demineralization have the best chance of improving naturally, especially when oral hygiene habits are corrected quickly. Saliva plays a key role by delivering minerals back to the enamel and neutralizing acids.
White spots caused by fluorosis or long-standing enamel damage are less likely to fade on their own. In these cases, the enamel has developed differently, and natural remineralization cannot fully restore its appearance. A professional evaluation during a dental checkup helps determine whether monitoring or treatment is the best approach.

Habits That Help Prevent White Spots from Getting Worse
While not all white spots can disappear naturally, certain habits can prevent them from worsening and reduce the risk of new spots forming.
- Brushing twice daily with proper technique to remove plaque
- Flossing daily to clean areas between teeth
- Limiting frequent sugar and acidic food intake
- Staying hydrated to support saliva production
- Attending routine dental checkup appointments to remove plaque and tartar
These habits support enamel health and reduce acid exposure that contributes to further demineralization.
Read more: How to protect tooth enamel
Professional Treatment Options If White Spots Persist
If white spots remain visible or affect your confidence, professional cosmetic options may help improve their appearance. Treatments vary depending on the cause and severity of the spots.
Options may include enamel microabrasion, remineralization therapies, whitening to blend with the surrounding enamel, or cosmetic dentistry solutions. Your dentist will recommend the most conservative approach that achieves a natural result while protecting tooth structure.
Concerned About White Spots on Your Teeth?
White spots can be confusing and frustrating. A professional evaluation can help identify the cause, assess enamel health, and determine whether simple monitoring or treatment is needed. Getting clarity early can prevent further enamel damage and protect the appearance of your smile.
Take The Next Step Toward Naturally Healthier Teeth
White spots on teeth can sometimes fade naturally, but this depends on their cause and how early they are addressed. Spots related to early enamel demineralization may improve with good oral hygiene and time, while others, such as fluorosis, are less likely to change without treatment. Understanding the difference helps prevent unnecessary worry and delayed care.
If you’re unsure about the cause of white spots on your teeth, Smile Plus Dentistry can help. Our team provides personalized guidance when needed. Schedule a visit to protect your enamel and restore confidence in your smile.
FAQ
-
Are white spots on teeth an early sign of cavities?
They can be. White spots caused by demineralization are often early warning signs of enamel weakening and may progress to cavities if untreated.
-
Can brushing and diet really reduce white spots?
Improved brushing, flossing, and dietary habits can help early white spots stabilize and sometimes fade, but they cannot reverse all enamel changes.
-
When should I see a dentist for white spots?
You should see a dentist if white spots are increasing, affecting your appearance, or if you’re unsure of the cause. Early evaluation prevents progression and allows for conservative treatment.
-
Do white spots on teeth always mean permanent damage?
No. White spots caused by early enamel demineralization can sometimes improve naturally when oral hygiene and diet are corrected. However, spots caused by fluorosis or developmental enamel changes usually require professional cosmetic treatment.
Leave a comment below if you have any questions
We’re happy to help you understand what’s causing the changes and what options are best for your smile.
No Comments