Denture sores are a common but often uncomfortable issue for denture wearers. They can occur due to various causes, such as ill-fitting dentures, poor oral hygiene and denture care, or excessive wear. If you’re experiencing sore spots and irritation, it’s important to understand why they occur, how to treat them, and when to seek professional care. While these sores are often manageable, untreated irritation can lead to more serious problems with your gums and dentures.
In this article, we will go through pictures of denture sores, cover how to identify them, and provide effective treatments and prevention tips to keep your mouth healthy and comfortable.

What Are Denture Sores and What Causes Them
Denture sores are painful areas of irritation or ulceration that form on the gums where dentures make contact. They can be caused by several factors, but the most common causes include poor-fitting dentures, inadequate cleaning, or rough edges that cause pressure points on the gums.
Ill-fitting Dentures and Pressure Points
One of the most common causes of denture sores is a poor fit. When dentures do not fit properly, they can create pressure points on the gums, leading to painful sores. Over time, this constant irritation can result in deeper tissue damage, making it important to have your dentures adjusted regularly.
Poor Oral Hygiene and Bacterial Buildup
Bacteria and plaque can accumulate on dentures just like natural teeth. If dentures are not cleaned thoroughly and regularly, bacterial buildup can irritate the gums, leading to sore spots and even infection. This is why proper denture cleaning is essential for preventing oral health issues.
Excessive Wear or Rough Edges on Dentures
Denture sores can also develop if the dentures themselves are worn down or have rough edges. Even slight imperfections can irritate the delicate gum tissue. Regular denture adjustment or denture relining helps maintain a smooth fit and surface, preventing these issues from developing.
How to Identify Denture Sores and Their Symptoms
Denture sores can range from mild irritation to more severe ulcers. Common symptoms include:
- Painful spots or bumps on the gums where dentures make contact
- Swelling or redness around the sore area
- Sensitivity to pressure, especially when eating or speaking
- Ulceration or open sores in extreme cases
- Bleeding gums after removing dentures or brushing
If you notice any of these symptoms, it’s important to check whether your dentures fit correctly and take steps to relieve the irritation. If sores do not improve with proper care, seeking professional treatment is recommended.
The Cleveland Clinic says:
“Most people feel better within two weeks of starting denture stomatitis treatment. But this timeline can vary, depending on severity and whether you have an underlying health issue.”
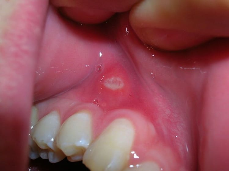
Pictures of Denture Sores: Visual Guide
These pictures of denture sores act as a visual guide and help you differentiate this issue from other dental problems:




Different Types of Denture Sores
We have broken down the most common types of denture sores, along with their typical appearance and where they usually occur in the mouth, in the following table:
| Type of Sore | Primary Cause | Visual Appearance | Typical Location |
| Pressure Sore | Uneven bite or poor fit causing localized stress | Small, painful ulcers; red base with a possible white border | Denture-bearing ridges or thin mucosal tissue |
| Frictional Sore | Constant rubbing or movement of the denture | Red, raw, and inflamed patches; lacks deep ulceration | Inner cheeks, lips, or near denture flanges |
| Denture Stomatitis | Poor hygiene or wearing dentures while sleeping | Diffuse, painless redness; may occasionally burn | The palate beneath the upper denture |
| Epulis Fissuratum | Chronic rubbing from an overextended denture edge | Folds of excess fibrous tissue with a visible groove | Along the vestibule, particularly in the front |
| Angular Cheilitis | Saliva pooling or infection at the mouth corners | Red, cracked, and sore lesions | Labial commissures (corners of the mouth) |
| Papillary Hyperplasia | Persistent wear and hygiene issues, often with Candida | Pebbly, red texture consisting of multiple small bumps | Mid-palate under the upper denture |
Treatment Options for Denture Sores
Treating denture sores involves a combination of self-care and professional solutions. Here are some common treatments:
- Denture adjustment
If the denture fit is the issue, your dentist can perform a simple adjustment to relieve pressure on the affected area. - Rinsing with saltwater
Saltwater rinses can help soothe the gums and reduce inflammation. Simply dissolve a teaspoon of salt in warm water and rinse several times a day. - Topical medications
Over-the-counter gels or ointments may help reduce pain and promote healing for minor sores. - Improving denture cleaning habits
Use a soft-bristle toothbrush and a denture-safe cleaner to remove plaque and bacteria from your dentures daily. This reduces the risk of irritation and infection. - Denture relining
If your dentures are worn down or no longer fit properly, a professional denture relining can help restore comfort and prevent further sores.
How to Prevent Denture Sores from Occurring
Prevention is key when it comes to denture sores. Here are several steps you can take to minimize your risk:
- Ensure proper fit
Have your dentures professionally adjusted regularly to ensure they fit comfortably and do not create pressure points. - Maintain excellent oral hygiene
Brush your dentures after every meal and soak them overnight to keep them clean and free of bacteria. - Avoid wearing dentures too long
Take your dentures out at night to give your gums a chance to rest and recover. - Check for rough edges
If you notice any rough spots on your dentures, have them smoothed by your dentist to avoid irritation. - Regular dental visits
Regular dental checkups ensure that your dentures remain in good condition and fit well, preventing sores from developing.
These are the best possible actions to take to prevent denture sores, since everyone can get them at any time.
Experiencing Discomfort from Denture Sores?
Denture sores can cause discomfort and concern, but with the right care and adjustments, they can be easily managed. If you’re dealing with persistent soreness or irritation, Smile Plus Dentistry is here to help. Our team can evaluate the fit of your dentures, adjust them if necessary, and provide relief through professional care.
Manage Denture Sores For Better Comfort
Denture sores can be uncomfortable, but with proper care, they are preventable and treatable. Regular adjustments, good oral hygiene, and proper denture care are the most effective ways to avoid sores and keep your gums healthy. If you’re experiencing persistent discomfort or sores that don’t heal, it’s important to see your dentist for a professional evaluation.
At Smile Plus Dentistry, we can help adjust your dentures, address any sores, and ensure they function properly for long-term comfort. Contact us today to schedule a consultation.
FAQ
-
Are denture sores common during the adjustment period?
Yes, mild soreness is common when first wearing new dentures or after adjustments. The gums may need time to adjust to the new appliance.
-
How long do denture sores typically last?
Most sores heal within a few days to a week, but they can last longer if the underlying issue, such as an ill-fitting denture, is not addressed.
-
Can denture sores cause long-term damage to gums?
If left untreated, denture sores can cause long-term damage to the gums, leading to infection or chronic irritation. Regular checkups and proper denture care are essential for preventing these issues.
Have Questions About Denture Care or Sores?
Leave a comment below or contact our team. We’re happy to answer your questions and help you achieve a comfortable, healthy smile with your dentures.
No Comments